TOPICS
歯ぐきの腫れ・膿の原因は?根の病気と早期治療の重要性を東有馬おとなこども歯科が解説

はじめに “歯ぐきの腫れ・膿”は、痛みがなくても危険なサインです
「歯ぐきがぷくっと腫れている」
「押すと膿が出る」
「白いニキビのような点がある」
「噛むとズキッとする」
東有馬おとなこども歯科には、こうした“歯ぐきの違和感”で来院される大人の方がとても多くいらっしゃいます。
特に危険なのが、
「痛みは強くないから大丈夫」
「膿が抜けたら治った気がする」
と自己判断してしまうケース。
実は
歯ぐきの腫れや膿は、ほとんどが“歯の根(神経)に関わる病気” であり、
放置すると“歯の寿命”に直結するトラブル の代表格です。
このブログでは、
- 歯ぐきが腫れる/膿が出る本当の理由
- なぜ痛くないのに進行するのか
- 放置するとどうなるのか
- 根の治療(根管治療)は何をするのか
- 病院に行くべき「危険なサイン」
- 東有馬おとなこども歯科の治療方針
を、専門用語を使いすぎず、
“初めての方でも理解できる優しい解説” でお届けします。
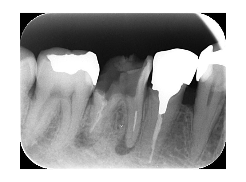
■ 歯ぐきの腫れ・膿の正体は? 原因の8割は“根の病気”

結論:
歯ぐきの腫れ=根の先に細菌が溜まっている可能性が高い。
医学的には
「根尖性歯周炎(こんせんせいししゅうえん)」
と呼ばれます。
歯の神経(根管)に細菌が入り、
根の先に溜まった炎症が“膿となって外に出てくる”状態です。
● 原因①:むし歯が深く、神経まで感染している
むし歯が神経近くまで進行すると、内部に細菌が侵入します。
その結果、根の先で炎症が起こり、歯ぐきが腫れます。
● 原因②:過去の神経治療が途中でうまくいっていない
過去に治療した歯が数年後に腫れるケースは非常に多い。
- 神経の管が曲がっていて清掃が難しい
- 治療当時の器具・技術では取りきれなかった
- 根の先に細菌が残っていた
こうした理由で、時間が経ってから再発することがあります。
● 原因③:歯の根にヒビが入っている(歯根破折)
噛みしめ・年齢・治療歴などで歯にヒビが入ると、
細菌が内部に入り込み、膿が出てきます。
これは見た目では分かりにくいのが厄介です。
● 原因④:かみ合わせによる負荷
食いしばりや歯ぎしりが強いと
根の周囲の炎症が起こりやすく、腫れにつながります。
● 原因⑤:フィステル(膿の出口)ができている
歯ぐきの白い点から膿が出る症状。
痛みが少ないため「治った」と勘違いしやすいが……
実は“中で炎症が続いている”危険なサインです。
■ 痛くなくても危険な理由 根の病気は静かに進む
根の病気は、
✔ 痛みが強く出ない
✔ 痛みが消えても治っていない
✔ 膿が出ているのに自覚しにくい
という特徴があります。
膿が出る=内部の圧が抜けた状態であり、
治ったわけではありません。
むしろ
“症状が出ないまま悪化する厄介なタイプ” の病気です。
■ 歯ぐきの腫れ・膿を放置すると…どうなる?

放置は絶対NG。
以下のリスクが急激に上がります。
● ① 骨が溶けてしまう
根の先の炎症が続くと、
周囲の骨が ジワジワと吸収(溶ける) していきます。
レントゲンで丸く黒く写るのがそのサイン。
● ② 強い痛み・腫れが突然襲ってくる
ある日突然、
- 顔が腫れる
- 熱が出る
- ご飯が噛めない
- 夜眠れない痛み
といった急性症状に変わることがあります。
● ③ 神経が完全に死ぬ(壊死)
神経が壊死すると、
細菌の溜まり場ができ、膿が増えます。
● ④ 根管治療が長期化する
炎症が複雑になるほど、
治療回数・期間・負担が増えます。
● ⑤ 最終的に“抜歯”という選択肢に
歯は骨の中で支えられています。
その骨が大きく失われると、歯を保存できなくなることがあります。
東有馬おとなこども歯科では、
可能な限り歯を残せるよう丁寧な診断と治療をしていますが、
放置期間が長いほど、保存できる確率は下がります。
■ 危険度が高い“5つの症状” 1つでも当てはまれば受診推奨
✔ 歯ぐきから膿が出る(押すと出る)
→ 典型的な根の感染
✔ 歯が浮いたような感じがする
→ 根の先が炎症を起こしているサイン
✔ 噛むとズキッと痛い
→ 炎症が広がっている可能性
✔ 歯ぐきに白いニキビのような点がある
→ フィステル(膿の出口)
✔ 痛みが出たり、急に消えたりする
→ 典型的な“静かに進む根の病気”
■ 根の病気はどう治す? 根管治療で細菌のすみかを取り除く

根管治療とは
歯の内部に入り込んだ細菌を取り除き、清潔にして封鎖する治療。
東有馬おとなこども歯科の治療の流れは以下です。
● ① 根管の中を丁寧に清掃
非常に細い器具で、
神経が通っていた管を1本ずつ掃除します。
● ② しっかりと消毒
細菌を徹底的に減らすため、
薬を入れて数回に分けて消毒します。
● ③ 清潔になったら根管を封鎖
再感染を防ぐため、
薬剤で根管内部を完全に密封します。
● ④ 最後に被せ物で歯を補強
根の治療をした歯はもろくなりやすいため、
多くの場合は被せ物でしっかり守ります。
■ 治療が数回必要なのは“悪いから”ではない
根の中は暗くて複雑で、細菌が隠れやすい構造。
1回で終わらせると、後から再発するリスクが高まります。
回数が必要なのは、
あなたの歯を確実に守るため。
焦らず、丁寧に進めることが大切です。
■ 東有馬おとなこども歯科の根管治療が選ばれる理由

✔ 丁寧な説明で不安をなくす
根の治療は「何をしているのか分からない」という声が多いため、
工程・目的・期間をわかりやすく説明します。
✔ 痛みに配慮した治療
表面麻酔・ゆっくりした麻酔注射で痛みを最小限に。
✔ 保存治療を大切にしている
歯を残せる可能性がある限り、
すぐに抜歯を選びません。
✔ 子育て中の方でも通いやすい
託児ルームはありませんが、
予約の取り方・診療時間など、
ママが通院しやすい医院づくりを大切にしています。
■ まとめ 腫れ・膿は「治ったふり」をする。放置しないでください
歯ぐきの腫れや膿は、
一度引いたように見えても、
内側の炎症が消えていないことがほとんど。
放置すると
- 大きな痛み
- 顔の腫れ
- 骨の吸収
- 抜歯
につながるリスクがあります。
「今は痛くないから大丈夫」
という状態ほど、実は危険です。
少しでも気になる症状があれば、
どうぞ気軽にご相談ください。
あなたの歯を守るために、
私たちがしっかりサポートします。
■ 内部リンク
【監修者紹介】
井戸 俊輔(いど しゅんすけ)

歯科クリニックに対して、このようなお考えを持たれている方も多いかもしれません。
「歯医者さん恐いな」「通うの面倒だな」「こどもがいるから受診したいけど行けないな」など。
当院は、患者さんが歯科クリニックに対して不安に思いそうなことを、まずは解決したいと考えております。患者さんの不安や悩みを解消された後、こんな綺麗な口元を実現したい、正しい噛み合わせで美味しくご飯が食べたいなど、希望されることについて、お話を聞かせていただきます。
治療回数はかかってしまう場合もあるかもしれませんが、「あの歯科クリニックへ通って良かったな」と感じていただけるよう、東有馬おとなこども歯科は、丁寧なコミュニケーションと患者さんお一人おひとりに適した診療に努めてまいります。スタッフ一同、クリニックでお待ちしております。
略歴:
- 平成18年明海大学歯学部入学
- 平成23年明海大学歯学部卒業
- 平成23年歯科医師免許証取得
- 平成24年歯科医師臨床研修終了
- 平成24年4月埼玉県内歯科クリニック勤務
- 平成26年12月埼玉県内歯科クリニック退職
- 平成27年1月岡山県津山市井戸歯科クリニック勤務
- 平成27年5月岡山県津山市井戸歯科クリニック退職
- 平成27年6月埼玉県内歯科クリニック勤務
- 平成29年4月埼玉県内歯科クリニックにて副院長就任
- 令和2年5月埼玉県内歯科クリニック退職
- 令和3年3月東有馬おとなこども歯科開院
【所在地】
〒216-0002 神奈川県川崎市宮前区東有馬5-1-2
メディカルプラザD東有馬3F
【電話番号】
044-863-6410
【ご予約】
WEB予約 受付中
ご予約はこちらから